 |
Orthopaedic & Accident Surgery |
Foot and Ankle
The Foot & Ankle Service is skilled in the use of the latest braces and orthotics to provide a safe and speedy recovery in case of many disorders of foot and ankle. If surgery is necessary, we have extensive experience with procedures ranging from bunion surgery to the most complex reconstructions, including limb realignment and arthrodesis.
The many problems of foot seen in diabetic patients are treated with special care and expertise.
Hand and Microvascular
Surgeons in the Hand service are experienced in treating trauma, using sophisticated plastic surgery to cover exposed bone and injured soft tissue.
Our surgeons are also skilled in treating common hand problems, such as carpal tunnel syndrome, trigger finger, de Quervain’s disease of wrist etc as day care surgeries. Correction of deformities, relief of pain, and restoration of mobility and function are accomplished through well-honed surgical techniques and rigorous rehabilitation.
Hip and Knee
Joseph Hospital's Department of Orthopedic Surgery carries on the tradition of experts in using proven methods and developing novel ways to restore movement and independence with a coordinated multidisciplinary approach to adult reconstructive surgery. This is a result of the coordinated care provided by a team that includes surgeons, consulting physicians, nurses, physical and occupational therapists.
Joseph Hospital has some of the nation’s finest doctors as visiting consultants in the supportive medical specialties such as internal medicine, , rheumatology, anesthesiology, general surgery, plastic and reconstructive surgery ,urology, paediatric surgery, neuro surgery, faciomaxillary surgery, dental surgery , rehabilitation medicine, paediatrics and cardiology.
Shoulder, Elbow and Sports Medicine
The Center for Shoulder, Elbow and Sports Medicine at Joesph Hospital offers treatment for a wide spectrum of shoulder and elbow abnormalities. Procedures are tailored to address conditions ranging from common problems such as impingement to the complex reconstructions for arthritis, fractures, instability, and rotator cuff tears. The Center combines clinical orthopedic surgery, rehabilitative sports medicine, physical and occupational therapy to provide the most advanced treatment to our patients. Many injuries, that at one time would have been career-ending, are now effectively treated.
The Center for Shoulder, Elbow and Sports Medicine works closely with athletic trainers and physical therapists to improve the identification and prevention of sports injuries. We combine multi modality treatments such as transcutaneous electrical neuromuscular stimulation TENS for pain relief, to decrease swelling and stiffness, isokinetic and isometric exercises for strengthening the back, arms, and legs and Neuromuscular proprioceptive facilitation exercise regimens.
Spine
The spine is the main supporting structure for the human body and it protects the spinal cord, the neural conduit between the brain and the body’s motor and sensory system. The spine must not only protect the nerves and spinal cord; it must also still allow for movement and flexibility. Many conditions such as muscle strains, disc problems, arthritis, abnormal curvatures such as scoliosis and kyphosis, congenital defects, instabilities, tumors, and trauma can affect the spine. Treatment must be tailored to the needs of each individual child or adult.
Cervical disc prolapses are treated by surgery in collaboration with Neurosurgeon. Cases of lumbar instability are treated by pedicle screw instrumentation and fusion
 |
 |
| Listhesis (Post op) |
Listhesis (Post op) |
Trauma
The Orthopedic Trauma Service carries on the tradition of excellence in clinical care to provide comprehensive treatment for all musculoskeletal injuries.
Josph Hospital has a 24 hours fracture clinic where acutely injured patients and accident victims are admitted in the trauma intensive care unit and are immediately attended to.
The Trauma Care Surgeons care for patients with recent or acute injuries as well as those who have chronic problems or complications of previous injuries such as delayed union and non union of fractures. Treatments are highly individualized and often include operative procedures as well as non-operative care such as splinting, bracing, and casting. Modern methods of surgery such as AO Fixation of Fractures , Interlocking Nailing of Fractures of Femur, Tibia and Humerus , LRS External fixation etc are routinely done . Rehabilitation after injury is a critical part of the treatment plan. Restoration of function, return to normal activities, and prevention of pain and deformity are our goals as we care for the total patient in a multidisciplinary environment.
Dr.J.Alphonse Mariadoss with more than 3 decades of experience in the care of Poly Trauma patients leads a team of experienced and well qualified Orthopaedic surgeons , Plastic Surgeons, Neurosurgeons and General Surgeons to offer comprehensive TRAUMA CARE.
 |
 |
| Fracture Humerus |
Fracture humerus post op |
| |
|
 |
 |
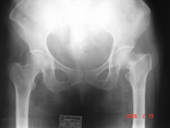
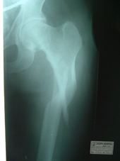
| Fracture neck of femur pre op |
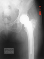
Fracture neck of femur post op |
| |
|
 |
 |
| Monteggia fracture preop |
Monteggia fracture post op |
| |
|
 |
 |
| Fracture Femur |
Interlocking nailing femur |
| |
|
 |
 |
| Fracture Tibia pre op |
Fracture Tibia post op |
| |
|
Tumour and Bone Disease
Joseph Hospital's Tumor & Bone disease service benefits from the experience and expertise of experts.The team treats bone tumors and soft tissue tumors in collobaration with Radiotherapists and Surgical Oncologists . Limb salvage is done with radical excision of the tumour and reconstruction with prosthesis in lieu of amputations.
 |
 |
 |
| Giant cell tumour MRI |
MRI2 |
MRI3 |
| |
|
|
 |
 |
|
| Giant cell tumour tibia pre op |
Giant cell tumour tibia post op |
|
Paediatric Orthopaedics
Diseases such as Developmental Dysplasia of the Hip joint , Club foot, angular deformities , post polio and cerebral palsy sequlae are treated with special expertise by surgery. Fractures in children are treated by conservative methods and whenever necessary by limited surgery. |
|
|
| |
|
| |
|
 |
Contact |
| |
|
| Address: |
1st Cross,
Thirumagal Nagar,
Peelamedu Pudur,
Coimbatore-641 004. |
| Phone : |
+ 91 422 2562345 |
| Fax : |
+ 91 422 2564577 |
| Mobile : |
+ 91 98430 10449 |
| Email id : |
info@josephhospital.net |
|
|
|